News

16 August 2019

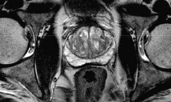
Use of pre-biopsy MRI is better than a biopsy alone

New research provides further support for European moves to ensure that prostate biopsies are guided by MRI scans rather than standard ultrasound. It finds that the use of pre-biopsy MRI combined with targeted prostate biopsy is better than a biopsy alone in detecting prostate cancers that are likely to need treatment.

The research was published in JAMA Network Open, led by the National Institute for Health Research (NIHR) and the Universities of Bristol, Ottawa, Exeter and Oxford. The systematic review combined the results from seven studies covering 2,582 patients, focusing on men who had not had a prostate biopsy before.

This adds to growing evidence that pre-biopsy MRIs lead to more accurate sampling of the prostate gland, said one of the authors, Professor Richard Bryant, an Academic Consultant Urologist at the Nuffield Department of Surgical Sciences at Oxford University.

He said: “While there are obviously benefits for men to have a prostate biopsy if indicated so that we can diagnose and then treat clinically significant prostate cancer, if we can reduce the potential side effects and increase the accuracy of the initial biopsy procedure, then that will be better for patients.”

Earlier this year, the European Association of Urology’s Guidelines Office announced a change in its guidance on diagnosing prostate cancer, recommending that there should be no prostate biopsies without a positive multiparametric MRI beforehand. EAU said the change aimed to improve diagnostic accuracy and prevent unnecessary interventions.

Europa Uomo has pointed out that patients need to be being involved in decisions about whether or not to perform a biopsy if an MRI proves negative.